Ком в горле при плаче часто возникает из-за напряжения мышц глотки и связанных с этим эмоциональных состояний. Во время сильных эмоций, таких как грусть или стресс, возникают физические реакции, которые могут приводить к ощущению сжатия в горле. Это связано с активацией симпатической нервной системы и спазмами мышц.
Кроме того, слезы и сопутствующее им повышение активности дыхательной системы могут вызвать временные изменения в ощущениях в гортани. В большинстве случаев это явление является временным и проходит по мере восстановления эмоционального состояния. Однако если ощущение кома в горле сохраняется, стоит обратиться к врачу для исключения других заболеваний.
Появление слёз и кома в горле при серьёзных разговорах с отцом – что делать?
У меня возникла проблема. Каждый раз, когда я пытаюсь обсудить с папой важные темы, меня охватывают слёзы, и остаётся лишь комок в горле. Я не могу выразить свои мысли или привести аргументы.
Причины неприятного чувства комка в горле
- Физическое и эмоциональное переутомление.
- Долговременные стрессы или ярко выраженное нервное напряжение.
- Различные неврозы и невротические состояния.
- Депрессивные состояния.
- Тревожные расстройства, включая фобии, панические атаки и генерализованное тревожное расстройство.
- Психосоматические расстройства.
- Шизотипическое расстройство или шизофрения.
- Последствия повреждений нервной системы из-за травм, инфекций, инсультов или инфарктов.
- Заболевания внутренних органов, такие как гипертиреоз, тиреоидит, стенокардия, остеохондроз, гастроэзофагеальная грыжа, ожирение или кахексия.
- Аллергические реакции.
- Отравления.
С устранением ощущения комка в горле занимаются психотерапевты и психиатры. На первичной консультации специалист оценит ваше состояние и определит необходимый объём помощи.
Процесс лечения чувства кома в горле

Стратегия лечения определяется причиной и механизмом возникновения проблемы, и каждому пациенту подбирается индивидуальный подход. При неосложнённом и недавно возникшем состоянии терапия происходит амбулаторно: врачи предлагают психотерапию и назначают лекарства, которые пациент принимает дома, с периодическими повторными визитами.
В случае средней тяжести состояния рекомендовано проходить лечение в дневном стационаре: ежедневно проводятся лечебные процедуры (инфузии медикаментов, физиотерапия и т. д.), которые занимают 1-1.5 часа, но пациент при этом остаётся дома и ведёт привычный образ жизни. Обычно курс в дневном стационаре длится около 10 дней. Если состояние тяжёлое, требуется госпитализация в стационар.
Основные методы терапии:
- Психотерапия.
- Лекарственная терапия (фармакотерапия).
- Физиотерапевтические процедуры.
- Массаж и мануальная терапия.
- Диетологическое лечение.
- Биологически активные добавки и психотерапия.
Причины появления ощущения кома в горле
Это неприятное ощущение часто возникает при острых респираторных заболеваниях, аллергиях, нарушениях функционирования щитовидной железы, патологиях шейного отдела позвоночника, заболеваниях желудочно-кишечного тракта, опухолях горла, а также может быть связано с психическими расстройствами.
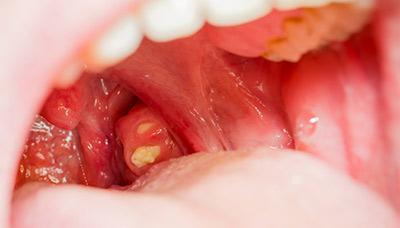
Воспалительные заболевания ротоглотки
Одной из основных причин кома в горле являются инфекции верхних дыхательных путей. Они вызывают воспаление слизистой глотки и нередко сопровождаются высокой температурой, общей интоксикацией, болью в мышцах и суставах, повышенной утомляемостью и сонливостью. Заражение может происходить от вирусов гриппа, аденовирусов, коронавирусов и риновирусов.
Кроме вирусов, острые респираторные заболевания могут вызываться бактериальной инфекцией, такой как стафилококки, стрептококки, микоплазмы, пневмококки и другими. Аллергические реакции также могут стать причиной воспалений в горле, например, респираторная, пищевая или лекарственная аллергия.
При контакте с аллергеном слизистая оболочка может отекать, вызывая ощущения сдавливания. Основные воспалённые состояния ротоглотки, приводящие к чувству инородного тела, включают фарингит, тонзиллит, увулит и ларингит.
Симптоматика может включать покраснение и отёк слизистой, боль при глотании, першение и сухой кашель. При фарингите ощущение кома чаще располагается в верхней части глотки. Острый тонзиллит, или ангина, сопровождается воспалением небных миндалин, что вызывает сильные боли, особенно при глотании.

При лакунарной ангине в миндалинах образуется гной. Увулит характеризуется воспалением нёбного язычка, сопровождающимся болью при глотании, першением и иногда нарушением дыхания.
Ларингит
Ларингит — это воспаление гортани, находящейся ниже глотки в области шеи. Основные симптомы — хрипота или полная потеря голоса, болезненные ощущения в горле и кашель. Ком в горле при ларингите ощущается как «застрявшая таблетка», находясь ниже глотки, например в области кадыка или в ямке под ключицей. Симптом может более выражено проявляться во время разговора, вызывая непреодолимое желание сглатывать слюну.
Заболевания щитовидной железы
Эндокринный орган, расположенный в нижней части шеи, щитовидная железа регулирует множество биологических процессов за счёт выработки гормонов. При некоторых патологиях этот орган может увеличиваться и воспаляться, создавая давление на дыхательные пути и пищевод. Обычно это проявляется бугровидным увеличением на шее, называемым зобом, который может ощущаться при глотании и дыхании.

Увеличенная щитовидная железа выглядит как выпуклость на шее в области горла.
- Диффузный токсический зоб, известный как болезнь Грейвса, — это аутоиммунное заболевание, сопровождающееся увеличением щитовидной железы, выпучиванием глаз, повышенной температурой, потливостью, расстройствами кишечника и учащённым сердцебиением.
- Тиреоидит — воспаление щитовидной железы, связанное с аутоиммунной реакцией, инфекцией или травмой. Проявляется повышением температуры, болями и покраснением кожи на передней части шеи, иногда вызывает боль при глотании.
Патологии шейного отдела позвоночника
Ком в горле также может быть связан с дегенеративно-дистрофическими изменениями в шейном отделе позвоночника, известными как остеохондроз. Это заболевание развивается из-за истончения межпозвонковых дисков, отвечающих за амортизацию и поддержку подвижности.

Изменения в шейном отделе могут вызывать ощущения кома в горле
Ощущение кома в горле при остеохондрозе возникает из-за сжатия нервов, отвечающих за чувствительность глотки. При этом нет отёков или воспалений слизистой оболочки.
Остеохондроз шейного отдела в первую очередь проявляется болями в шее и спине при наклонах или поворотах головы, а ком в горле является второстепенным симптомом.
Заболевания желудка
Ком в горле может быть вызван нарушениями в работе пищевода или желудка. Например, гастроэзофагеальная рефлюксная болезнь (ГЭРБ) — это расстройство, связанное с клапаном пищевода, который должен препятствовать возврату пищи в желудок.
При ГЭРБ пища и желудочный сок могут забрасываться в пищевод, что приводит к появлению кислой отрыжки. Кислота может раздражать слизистую пищевода и дыхательных путей, если поступает в них, что вызывает воспаление.

Ком в горле при ГЭРБ проявляется из-за регулярного повреждения слизистой пищевода желудочным соком.
Другой причиной может быть эзофагит, когда воспаляется слизистая оболочка пищевода, и при прохождении пищи оставляет ощущения инородного тела.
Дискинезия пищевода, возникающая из-за нарушения сокращений мышц, может приводить к тому, что пищевой комок не проходит, ощущаясь как застрявший в горле.
Новообразования
К числу возможных причин кома в горле относятся новообразования, включая доброкачественные и злокачественные опухоли, кисты и полипы.
Новообразования могут достигать крупных размеров, сужая просвет глотки и создавая давление на гортань, вызывая ощущение постороннего объекта, мешающего дыханию и глотанию.
У больных раком горла или гортани ком в горле может стать первым признаком заболевания, но, в отличие от других состояний, он остаётся постоянным.
Психогенные факторы
У людей с депрессиями и неврозами, а также тех, кто испытывает сильный стресс, также может возникать ощущение кома в горле.
Это ощущение появляется из-за спазма мышц глотки в ответ на интенсивные эмоции, такие как грусть, радость, волнение или страх. Как правило, оно усиливается вместе с эмоциями и исчезает, когда человек успокаивается.
Травмы и инородные тела
Ещё одной причиной кома в горле могут быть травмы, такие как ожоги слизистой от горячей пищи или жидкости, а также проглатывание твёрдых, грубых или острых объектов (например, кусочков печенья или леденцов с острыми краями, крупных косточек от фруктов и овощей).
Некоторые вещи могут действительно застрять, например, в слизистой оболочке. Часто в горле у пациентов застревают тонкие кости рыбы. Такие предметы, как проглоченные без жидкости капсулы с лекарствами, обычно не вызывают стойкого ощущения кома в горле, но могут быть временной причиной дискомфорта.
Диагностика заболеваний, вызывающих ощущение кома в горле
Сначала врач уточнит жалобы, выяснит, когда появились симптомы и как долго они беспокоят пациента, а также спросит о недавних болезнях и общем состоянии здоровья.
Если ощущение кома в горле — не единственная проблема, важно сообщить о всех других симптомах, чтобы сузить круг возможных диагнозов.
Для оценки состояния здоровья и степени воспалительного процесса врач может назначить клинический анализ крови и тест на С-реактивный белок, который является основным маркером воспаления.
Исследования о происхождении «кома в горле» при плаче
РИАМО — 1 дек. Исследователи выдвинули ряд теорий относительно неприятных ощущений в горле во время плача, известных как «ком», согласно материалам Федерального агентства новостей.
Считается, что в процессе плача у человека увеличивается частота сердечных сокращений, возрастает давление и усиливается потоотделение.
«Кроме того, слезный поток активируется. Дыхание углубляется, поскольку во время плача организм получает больше кислорода. Голосовая щель расширяется, создавая ощущение «кома в горле», — отмечается в отчете.
Тем не менее, нельзя с уверенностью утверждать о причинах этого эффекта.
Специалисты полагают, что во время проглатывания слюны при плаче голосовая щель должна закрываться, но в этот момент она открыта, и мышечное напряжение вызывает ощущение «кома в горле». Другие исследователи считают, что когда люди сдерживают слезы, напряжение мышц в расширенном горле приводит к дискомфорту.
Общественная редакция: новая платформа для ведения журналистики
Эксперты высказали свое мнение о рассматриваемой проблеме.
Таким образом, создается уникальный медиа-ресурс, который управляется полностью подписчиками.
Новая журналистская платформа будет финансироваться исключительно за счет взносов от подписчиков. Структура «Общественной редакции» полностью устраняет концепцию «владельца», характерного для традиционных медиа. Это позволяет избежать влияния различных сил, будь то государственные или рыночные, и мешающих свободному распространению информации. Журналист в «Общественной редакции» занимается различными темами и запросами, которые определяются подписчиками в чате редакции.
Раздел «Новости в Москве» представляет собой актуальные события столицы и области. Журналисты портала ГлобалМСК.ру с максимальной точностью и объективностью донесут до читателей информацию о значимых событиях в бизнесе, политике, экономике, медицине, культуре и других областях жизни региона. Подпишитесь на новости, чтобы поддержать независимую журналистику в Москве.







